Founder/ Laminitis Case


Before adjustment of hoof. ——– After adjustment of hoof.
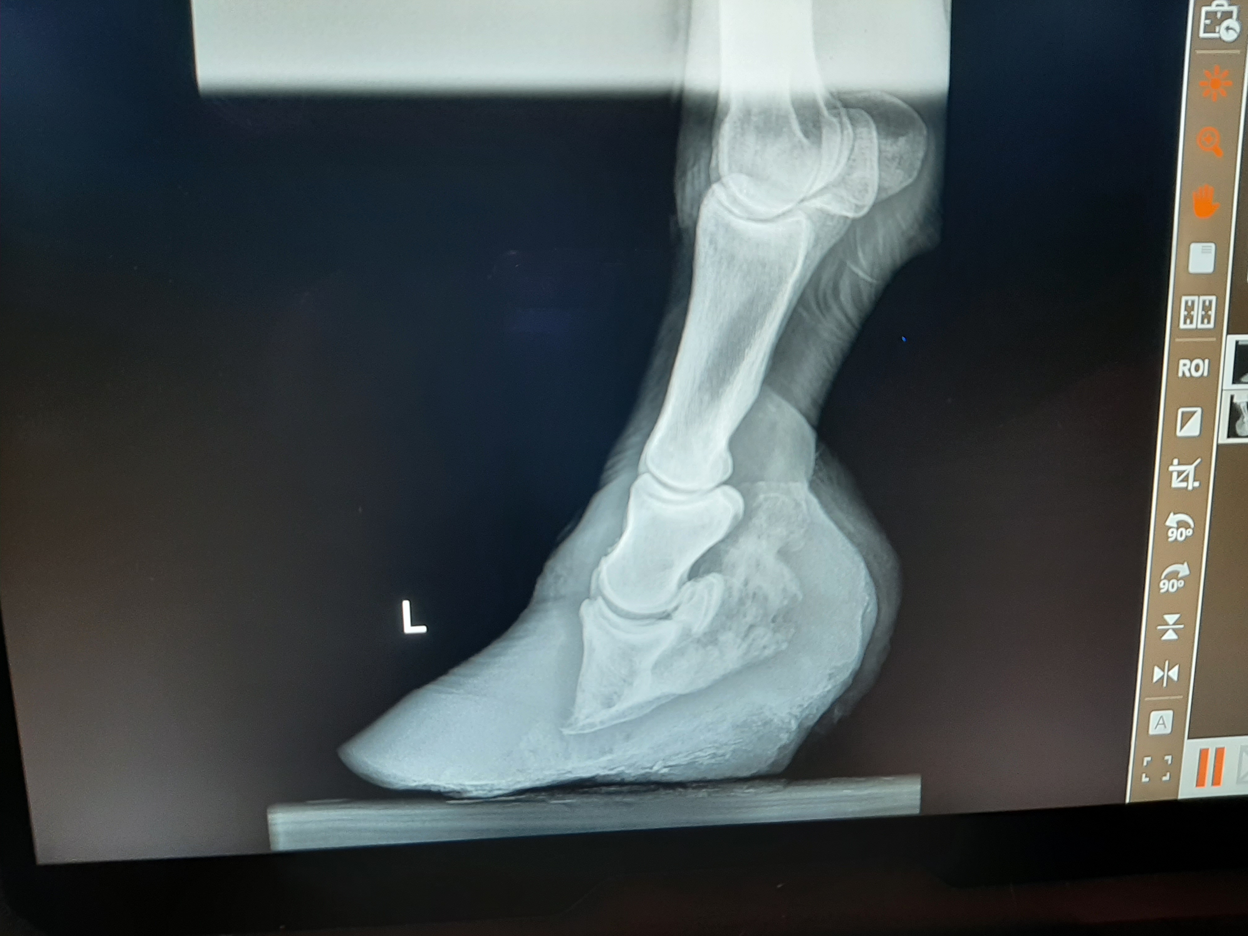
This is an example of a founder/ laminitis case that I have been working on. The photos on the left show the beginning of the hoof when I saw it. The photos on the right are after the trim with other x-rays to show the amount of more hoof wall and sole I would have left to take off. Besides the hoof capsule showing that the foot was in bad shape the x-rays show that the coffin bone / P3 is pointed in a downward direction to much. It needs to be pulled back up to go along in the same direction as the outer edge of the hoof wall. Unfortunately horses in this kind of shape are hard to recover to a sound enough shape to be ridden.
Club Foot


As of 10/13/2020 this 24year old horse has a Suspensory Ligament Issue on a club foot. With the photo on the left the horses Suspensory Ligament is under strain, to aid in relieving some of this tension the heels were trimmed down. This is a work in progress.
Egg bar Shoe: Used for treating horses with diseases of the leg. They are useful on horses with flexor tendon trouble and those with low, under run heels. They are most commonly used on horses with navicular disease.
Heart bar shoe: Are used in treating diseases of the foot. They are used to transfer pressure from the affected wall to the frog on horses with quarter cracks. They are used to apply pressure on the entire frog to prevent further coffin bone sinking resulting from founder.

